Quantcast
Channel: Microscope World Blog
Viewing all articles
Browse latest Browse all 422

Heart Attack Awareness & Prevention

$
0
0
Myocardial infarction is the technical term for a heart attack. A heart attack occurs when an artery leading to the heart becomes completely blocked and the heart doesn't receive enough blood or oxygen. Without oxygen, cells in that area of the heart die, referred to as an infarct.

A heart attack is a medical emergency and if you or someone around you has the symptoms listed below call for medical help immediately. With prompt medical treatment, heart damage can be minimized. Waiting even ten minutes can be fatal. Although heart attacks are the leading cause of death in the United States, up to 95 percent of people who are hospitalized with a heart attack survive.

Signs and Symptoms of a heart attack:
  • Squeezing pain, heaviness, tightness and/or pressure in the chest.
  • Pain that spreads to the back, left arm, jaw and/or back.
  • Shortness of breath, weakness, dizziness, nausea, vomiting, and sweating.
  • Irregular heartbeat or a feeling of doom.
  • Women may also experience: heartburn and/or abdomen pain, unusual fatigue and/or clammy skin.
Most heart attacks are caused by blood clots, which are caused by atherosclerosis (stiffening and narrowing of the arteries). High blood fats, known as triglycerides, and LDL (bad) cholesterol form plaque inside arteries, narrowing the passageway and reducing the amount of blood that can flow through the arteries.

A healthy lifestyle is the best preventative medicine and these changes can reduce the risk of heart attack:
  • Eating a heart-healthy diet low in cholesterol and high in fruits and vegetables.
  • Exercising at least thirty minutes a day, five or more days a week.
  • Reducing stress levels.
The images below are of myocardial infarction (a heart that has been through a heart attack) and were captured using a clinical lab microscope and an HD microscopy camera.

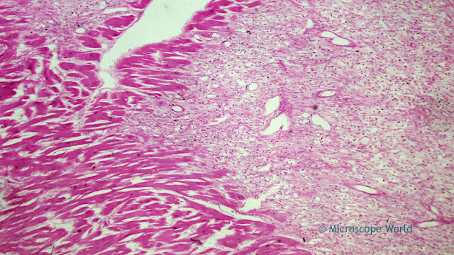
Microscope World image of myocardial infarction under the microscope at 40x.
Myocardial infarction (heart attack) under the microscope at 40x.

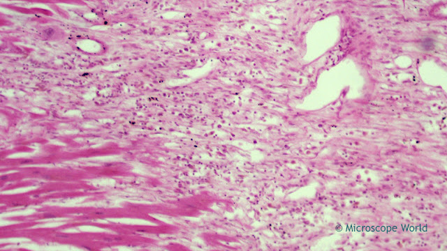
Microscope World image of heart attack under the microscope at 100x.
Myocardial infarction (heart attack) under the microscope at 100x.

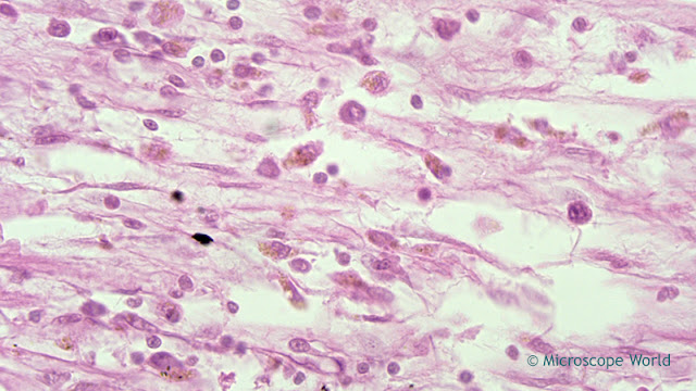
Microscopy image of a heart attack (myocardial infarction) under the microscope at 400x.
Myocardial infarction (heart attack) under the microscope at 400x.

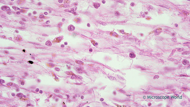
Myocardial infarction (heart attack) under the microscope at 400x with Plan Fluor objective lens.

For more info on microscopes and microscopy cameras contact Microscope World. For more info on heart attack prevention and awareness visit NIH here.

Viewing all articles
Browse latest Browse all 422

Trending Articles