The palatine tonsils are two lymphatic masses, located at the back of the throat on each side of the oral pharynx. The tonsils play a role in protecting the body against respiratory and gastrointestinal infections.
Each tonsil consists of a network of crypts (pits) that store cells used to fight infection. The tonsils contain B cells, a type of white blood cell that fights infections. They also produce antibodies against polio, streptococcal pneumonia, influenza, and numerous other infections. Antibodies are proteins that help the body identify and attack harmful invaders.
The tonsils also contain several types of T cells, which are white blood cells that destroy cells infected with viruses and help the body build immunity to infectious organisms.
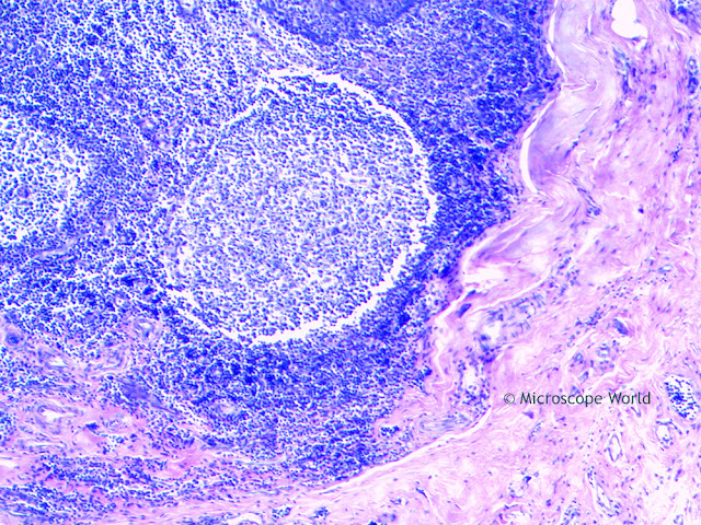
The images below are cross sections of Palatine Tonsils that were captured using a biological lab microscope and a microscopy camera.
Each tonsil consists of a network of crypts (pits) that store cells used to fight infection. The tonsils contain B cells, a type of white blood cell that fights infections. They also produce antibodies against polio, streptococcal pneumonia, influenza, and numerous other infections. Antibodies are proteins that help the body identify and attack harmful invaders.
The tonsils also contain several types of T cells, which are white blood cells that destroy cells infected with viruses and help the body build immunity to infectious organisms.
The images below are cross sections of Palatine Tonsils that were captured using a biological lab microscope and a microscopy camera.
![]() |
| Palatine tonsil under the compound microscope at 40x. |
![]() |
| Palatine tonsil under the compound microscope at 100x. |
![]() |
| Palatine tonsil under the compound microscope at 400x. |
Contact Microscope World with any questions about microscopy or capturing digital images under the microscope.


